2020年注定是不平凡的一年,
对于广西的甘阿姨来说,
更是经历了不平凡的一年,
她想不到,
小小的结石竟然差点危害到她的生命!

医学指导:广州医科大学附属第一医院泌尿外科 曾国华教授
两年前 ,甘阿姨检查时发现两边的肾脏都长了结石 ,当时在当地医院做了两次经皮肾镜取石手术,但是由于结石太复杂,都没有把结石取干净。

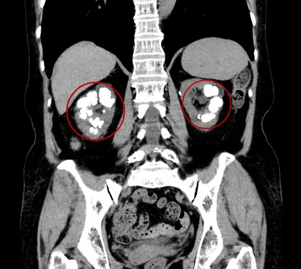
近两个月以来,甘阿姨自觉尿量变少了 ,到医院去看,竟发现两边的肾脏都长满了结石,还都是结石中最难处理的铸型结石。
更为棘手的是,甘阿姨两侧肾脏还出现了功能不全的现象,两侧肾的功能加起来只有正常人肾功能的1/4 ,为了避免肾脏功能继续恶化下去,必须马上做手术。
当地医院认为手术难度很大、风险也很大,介绍甘阿姨到有“微创外科的黄埔军校”之称的广州医科大学附属第一医院泌尿外科就诊。

▲两侧肾脏及结石
铸型结石,也称鹿角型结石,是肾脏内的一种特殊形状的结石,因其状似鹿角而得名,也因为它像水泥浇铸一样填充于肾脏的集合系统内而称铸型结石。
鹿角型结石通常伴有肾脏输尿管的异常 ,而且鹿角结石主要是由鸟粪石(磷酸镁铵)构成,通常在感染产生脲酶的细菌(如变形杆菌、克雷伯氏菌、假单胞菌和肠杆菌属)的情况下发生,因此,鹿角型结石是泌尿系统结石中最难处理的结石。
目前可以选择经皮肾镜碎石取石或输尿管软镜碎石取石术治疗,但通常需要分多期手术来治疗 ,且要充分评估患者的身体状况、肾脏条件、结石的分布和结石的密度来确定治疗方案。
接诊的曾国华教授评估了甘阿姨的情况,有三大难点:
1
甘阿姨的双侧肾功能重度受损,双侧肾脏还有积液,手术可能进一步损伤肾脏影响肾功能,因此手术必须十分小心;
2
铸型结石既大又分散,多处结石嵌顿于粘膜,多处肾盏盏颈有狭窄,因此手术中很难将结石击碎并从肾组织中分离出来;
3
甘阿姨尿液中感染的指标很高,甘阿姨还有高血压、糖尿病等基础病,出现并发症的可能性远高于一般患者,恢复也比一般人慢,因此手术风险极大。
但是不做手术,肾功能会继续恶化,造成不可挽回的伤害,甚至危及生命。
曾国华教授通过术前调整血压、血糖,及时合理使用药物,做好充分的术前准备 ,将手术风险降到最低;并决定先做肾功能相对好一点的左侧 ,尽量挽救主要肾脏的功能,在现有医疗技术的基础上最大程度使患者获益。

手术中,曾国华教授团队在甘阿姨的左肾区打了四个“洞”进行碎石取石 ,术后经过密切观察和治疗后拔除管道出院。
出院的时候,甘阿姨紧紧握住医护人员的手,连声道谢,最大的心愿就是尽快调整好身体,争取早日把右肾的结石也“一网打尽”。