广州一名29岁男子春节前
吃了一顿牛杂和红烧猪手后,
因剧烈腹痛送医,
抽血检验时发现,
他的血液已变成粉色。
2月22日,广州日报全媒体记者从中山大学附属第六医院消化内科获悉,这位患者被诊断为急性胰腺炎和2型糖尿病伴酮症酸中毒,所幸经过医务人员全力救治,近日已康复出院。
中山六院消化内科郅敏主任医师表示,这位患者以前没有糖尿病和高脂血症病史,但喜欢吃油腻食物。这次,牛杂和红烧猪蹄成为“压倒骆驼的最后一根稻草”,再次印证“暴饮暴食是健康大敌”。
猪手、牛杂, 是剧烈腹痛的祸首?
春节前夕,29岁的市民小于与朋友吃饭,朋友投其所好,点了猪手、牛杂等他的“最爱”。

小于大快朵颐之后,不料次日突然剧烈腹痛,且背部也疼痛不已,同时出现了恶心、呕吐等症状。一开始,小于以为自己只是“吃坏了肚子”,但照着“急性胃肠炎”服用抗生素治疗后,疼痛越来越厉害,随后被紧急送至中山大学附属第六医院急诊。
当时,小于腹痛难忍、大汗淋漓、面色苍白、呼吸急促。急诊科杨桂萍医生紧急进行血液化验,发现血液在试管中明显分层,上层悬浮着油脂样物质,竟然是乳糜血!

血液明显分层
检验科的医师通过机器质检,结合腹部CT,确定小于得了急性坏死性胰腺炎和2型糖尿病伴酮症酸中毒。

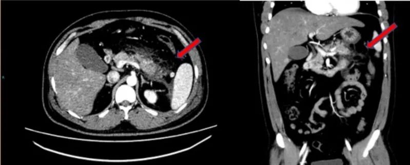
腹部增强CT提示胰腺尾部肿胀,胰腺周围脂肪间隙模糊,多发斑片状、条索影。红色箭头示胰腺脂肪间隙。

如图中箭头示意,小于血液置换过程中刚抽出的血为粉红色。
“患者以前没有糖尿病史和高脂血症病史,这次病发才知道自己身体的真实状况。”中山六院消化内科郅敏主任医师表示,身高168厘米的小于,体重达85公斤。他的血液检验中有多项指标异常,甘油三脂高达44.49毫摩尔/升,是正常人近25倍,胆固醇是正常人的近3倍,血糖维持在11毫摩尔/升以上,并多次高于15毫摩尔/升。
不仅如此,小于还合并出现多种电解质紊乱,整个人精神萎靡,腹部疼痛不已。病情危急!郅敏主任医师立即联系该院重症医学科主任杨春华主任医师进行会诊。杨春华主任建议立即进行床旁血液置换进行降脂治疗。
血液置换治疗时,从小于血管中抽出的血液呈粉红色,血浆为白色脂肪样。经过四个小时的治疗,血浆才恢复为正常的黄色透明样,血脂得到了控制,乳糜血也转化成了正常的血液,血脂甘油三脂降低至3.99毫摩尔/升。转回消化内科病房后,小于接受了充分液体扩容、积极降糖以及抑制胰腺分泌及营养支持治疗。3天后,他的精神恢复,腹痛缓解,血糖终于控制在了达标范围。
这种饮食习惯,很多人都有
让小于和家人不解的是,平时好好的,为什么突然就生了这么严重的病?难道一顿红烧猪蹄、牛杂的威力真的那么大吗?郅敏表示,小于本身就属于肥胖,BMI指数高达30.12。
由于平时工作忙碌,他的饮食不规律,爱吃油腻的食物,加上不喜欢运动,这些不良生活习惯都是急性胰腺炎的潜在高危因素。此次小于进食的红烧猪蹄和牛杂,过于油腻,对本已脆弱的消化道造成了“最后痛击”,直接导致了急性胰腺炎。
“患者已经使用胰岛素和降脂药进行治疗。以后如果没有控制好,再发生急性胰腺炎的风险还是很高的。” 郅敏表示,胰腺虽然是身体里一个小小的器官,却是人体第二大消化腺体。急性胰腺炎是消化系统的危重疾病,发病率逐年升高。急性胰腺炎总体病死率为5%,重症急性胰腺炎因较高的病死率,成为消化内科医生眼中最凶险的疾病之一。
三类人群警惕胰腺“告急”
“近几年每到节假日都会收治急性胰腺炎相关的病人,而且多为中青年群体,年轻人总觉得自己底子好,多吃一点没关系,却不知可能引发大祸。”郅敏表示,曾有一个病人连续两年春节都因吃牛油火锅而导致急性胰腺炎发作。
她强调,预防大于治疗,防范所需的代价远远小于治疗。节假日,热情好客固然是好,心情激动也能理解,但需要适当饮食,防范此种节日病。患有高脂血症、胆囊结石、经常大量饮酒的人群是急性胰腺炎的高危人群,而暴饮暴食、大量进食油腻食物、大量饮酒是导致胰腺炎发作的主要诱因。
因此,市民平时要注意饮食节律,控制饮酒,合理锻炼,切勿暴饮暴食、胡吃海喝、过食油腻,尤其是不能一次性吃大量高蛋白高脂食物,警惕各类消化系统疾病尤其是胰腺炎的发生。