入夏后,按规律已经过了春季感染性疾病高发期,但最近杭州市第一人民医院儿科候诊室里,咳嗽声却此起彼伏。
“最近感染性疾病明显增多。”杭州市第一人民医院儿科副主任医师郑绪阳 说,近日的儿科门诊接诊量一直处于高位,儿科病房已经处于人等床的排队状态,这其中大部分是肺炎,以支原体肺炎最多,占到了六七成。
郑绪阳介绍,前段时间低谷期,少的时候一周才做1-2个气管镜检查,但最近一个上午,气管镜检查室就一刻不停,多的时候足足做了7个患儿,这是比较少见的。
发烧三天咳嗽三周
一查肺部白了一片
得了肺炎就会发高烧?
郑绪阳说,近年来,不典型症状的肺炎越来越多,很多肺炎患儿血象不高,咳嗽也不厉害,发现久咳不愈出现气喘才来检查,结果肺部CT一检查,发现肺已经白掉了一大块。

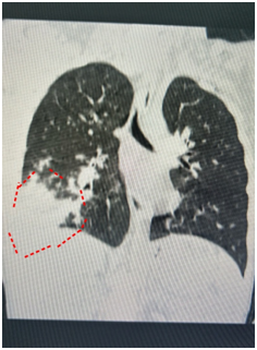
就在几天前,有个7岁的男孩子悠悠(化名),因为由于久咳不愈发生了气喘来到了儿科诊室。接诊的郑绪阳询问后才得知,原来在三个多星期前,悠悠发过三天高烧,当时爸爸妈妈跟以前一样,给他服用了家里常备的抗生素和退烧药。
悠悠退烧后却一直咳嗽,越咳越厉害,这才来到医院。经过胸部CT检查,他的右肺已经白掉了一大块。之后的化验结果证实,悠悠患上了支原体肺炎 ,马上被收治入院。
所幸,悠悠的恢复能力较强,在住院治疗后,病情逐渐好转。
肺炎支原体感染善于“伪装”
像悠悠这样没有持续高烧,做了血常规也没有明显改变,怎么会患上严重的支原体肺炎?

对此郑绪阳表示,现在的肺炎症状并不一定典型,很多支原体肺炎从单纯从症状上来和普通感冒较为相似。
前期可能表现为单纯高热,或者单纯咳嗽,血常规正常,胸片表现为单片或者间质性肺炎,进行病原学检测才能明确,非常隐匿,容易漏诊。
发热并伴有剧烈咳嗽要特别注意
郑绪阳介绍,其实肺炎支原体不是细菌,也不是病毒,而是介于细菌和病毒之间最小的致病微生物。它的临床表现也多种多样,包括鼻咽炎、扁桃体炎、气管支气管炎和肺炎等都有可能,所以很难和一般的呼吸道感染疾病区分。
支原体引起的儿童呼吸道感染表现往往没有特异性,从临床经验看,支原体感染发病高峰年龄阶段是学龄前期和学龄期儿童 ,幼儿园和小学生都是易发人群, 往往表现为反复的发热,伴有或不伴咳嗽,发热比较突出,而且用抗生素效果不明显。 3岁之前婴幼儿常常表现为发热、咳嗽或伴有喘息 ,部分孩子咳嗽剧烈呈连声剧烈咳嗽 。
支原体感染一旦合并细菌感染是比较危险的,起病非常急,有些患儿短短两三天就会出现一片白肺。去年年底,市一医院就收治了一例暴发性3天就进展为ARDS(急性呼吸窘迫综合征),最终进行ECMO治疗后病愈出院的孩子。
郑绪阳提醒,这个年龄段的孩子,如果发烧伴有剧烈咳嗽并且久咳不愈 的情况,特别是咳嗽在三周以上 ,一定要引起重视,积极就医。
来源:健康杭州