发热不退、咳嗽持续增多,如果最近你家的孩子有这些症状,要小心了。
今年11岁的安安,发烧、咳嗽一周不见好转,有一天更是烧到了40℃,家长急急忙忙把她送到浙江省立同德医院儿科,检查发现左肺出现了大白肺。儿科医生提醒,近期肺部的这种不典型病原体高发,千万不能当成普通感冒或流感来治疗,擅自使用抗菌药,有可能会耽误病情。
家长给孩子自行服药
病情却加重,原来是支原体感染
一周前,安安有点咳嗽、发热,妈妈以为只是普通感冒,给她吃了家里的备用感冒药,但是体温仍旧反反复复,爸爸后来又把家里的头孢给她吃上了,一顿用药后病情仍然不见好:最高的时候体温达到39℃,给安安吃了退烧药可以降到38℃以下。
有一天,安安因为连日来都乖乖待在家养病,就要求爸爸妈妈带她出去玩,架不住孩子的纠缠,爸爸妈妈就带安安去附近的综合体玩了半天,其间安安开心地蹦蹦跳跳,结果当天晚上回来就发烧到40℃,即使吃了药,量体温最低也达到38℃了,大部分时间都是38℃-39℃徘徊 ,咳嗽也越来越多。
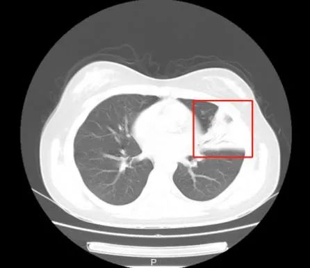
这下,安安的家长急坏了,带着孩子来到浙江省立同德医院儿科就诊,拍了胸部CT显示,左侧肺炎(见下图),正常应该显示黑色为主的部分都白了,是变得很厉害。

儿科医生看过CT后,立即给孩子安排了住院治疗,入院以后完善相关病原检测,发现肺炎支原体检测阳性,导致肺炎的“元凶”很可能就是它。 医生接下来仔细询问安安的发病经过,结合流行病学史及其他检测结果,最终确定肺炎是由肺炎支原体引起 。经过医生们针对性的治疗后,安安的病情也逐渐好转。
医生:今夏患儿明显增加
肺炎支原体到底是什么病菌?
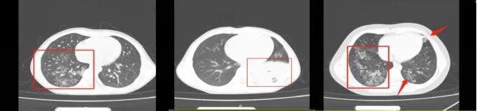
儿科医生表示:今年夏天,在浙江省立同德医院就诊的患儿中,支原体肺炎的患儿明显增加。病房中绝大部分患儿也都是支原体肺炎 ,与安安类似的情况也不在少数(见下图)。儿科病区满负荷运转,病房每天都是处于饱和状态。肺炎支原体感染一定要引起家长们的重视。

肺炎支原体是一种介于细菌和病毒之间的微生物。其感染源为支原体肺炎患者(含潜伏期、病原体携带者),易在人群密集、密闭、通风不良的环境通过飞沫或直接接触传播。 它虽不属于法定传染病,但在儿童中具有一定的传播性,可造成小范围流行,是儿童社区获得性肺炎的重要病原体之一。
肺炎支原体感染人体后,可直接侵入呼吸道,造成呼吸道上皮细胞的直接损伤,同时机体异常的免疫应答反应形成肺内外的免疫损伤。所以,感染后初期主要以发热、咳嗽为主可伴有头痛、流涕、咽痛、耳痛等,典型咳嗽为阵发性刺激性干咳,继而有痰,部分患儿有喘息表现,甚者引起胸痛、胸闷。 同时,肺炎支原体可引起广泛的肺外表现,可以影响到几乎每一个器官。部分患儿可伴发皮疹、胃肠炎、心包炎、心肌炎、脑膜脑炎、溶血性贫血、弥漫性血管内凝血、关节炎及肝炎等。
医生提醒:千万不要盲目用药
目前可以通过血清肺炎支原体抗体滴度检测,以及肺炎支原体核酸检测来确定患儿是否为肺炎支原体感染,同时结合临床和影像表现即可确诊支原体肺炎。肺炎支原体既不属于细菌也不属于病毒,是一类没有细胞壁、高度多形性、大小介于细菌和病毒之间的一种非典型微生物。
因此,头孢、青霉素等药物对肺炎支原体是无效的。别将它当成普通感冒或流感来治疗,孩子如果确诊肺炎支原体感染,千万不要盲目用药,否则会延误病情。儿童支原体肺炎治疗主要以大环内酯类药物为主,如阿奇霉素,但用药过程中需结合病情调整用药方案,所以当孩子在家中出现发热、咳嗽等症状,持续不能缓解时,建议前往医院就医。
家中孩子该如何预防肺炎支原体?
1、尽量不去人群密集环境。平时抵抗力较弱的儿童要注意尽量别去人群密集的环境,但爱玩之心人皆有之,正值暑期,在外游玩时如遇人多的环境内,尽量戴好口罩,做好防护工作。
2、加强锻炼。拥有一个好的体质,不仅可以预防肺炎支原体,还可以预防其他疾病。平时让孩子经常进行户外体育锻炼活动,这样不仅锻炼了身体,同时也使肌体适应能力提高,自身免疫功能随之增强,从而使得抵御各种疾病的能力提高。
3、注意营养均衡。孩子是希望、是未来,正处在正常生长发育阶段,一定要注意合理饮食,不要挑食偏食、暴饮暴食,按时就餐,注意营养的全面吸收,多吃富含优质蛋白质的食物,例如瘦肉、鱼肉、鸡蛋和牛奶等。同时也要全面加强维生素的补充,多吃胡萝卜、菠菜、西红柿、苹果、猕猴桃、芹菜等果蔬。
4、注意环境气温变化,空调房间内及时增添衣服。房间定期开窗通风,保持室内空气清新。
5、家中如有多个孩子,一旦其中一个孩子传染上肺炎支原体,一定要特别注意,做好隔离工作,尽量减少交叉传染的几率。保持良好的卫生习惯,咳嗽或打喷嚏时,用纸巾、毛巾等遮住口鼻,勤洗手,尽量避免直接用手触摸眼睛、鼻或口等。
6、发现孩子出现反复发热或咳嗽等呼吸道感染症状应及早就医,居家休息,不要带病入园或带病出游。