在广东
有句话叫做“捞起捞起,风生水起”
这不仅是个好意头
更代表着一道美味
剔去脊骨和细刺的淡水鱼片
薄如蝉翼,爽口弹牙
片片宛如白冰、鲜嫩清甜
淋上油、盐、柠檬草
花生米等数十种配料
入嘴爽口弹牙,满口留香
生鲜再美味
也不得不直面一个问题
——寄生虫
你也许永远不知道面前的
这碟生腌、鱼生
还是刺身里
是不是藏着一个“虫窝”
男孩反复低烧,持续一周
近日,13岁的小凯反复低烧,一家三口都有相似症状,到南方医科大学深圳医院就诊,确诊肝吸虫病(华支睾吸虫病),可能就是那碟美味的生鱼片导致的。
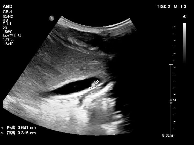
在医生的建议下,小凯一家三口都做了寄生虫相关检查,结果显示,三人血常规中嗜酸性粒细胞都异常升高!小凯还有肝功能异常,彩超显示肝内有片状低回声区,肝门淋巴结肿,妈妈的大便中检出肝吸虫卵!


这下,小凯反复发热的原因终于找到了,就是肝吸虫病(华支睾吸虫病),可能就是那碟美味的生鱼片导致的。
最终,一家三口都进行了驱虫治疗,小凯的症状也逐渐好转,但肝脏的损害还得慢慢恢复,后续还需继续观察治疗。
淡水鱼肝吸虫检出率最高6.85%
肝吸虫,也叫华支睾吸虫,是中国淡水鱼中最常见的一种致病寄生虫。当食用了被肝吸虫感染的生鱼片后,虫体便主要寄生在人体的胆管、胆囊内,引起胆道一系列病变,如胆管炎、胆囊炎、胆结石等。
2016年以来,广东省每年持续抽取一定比例人群样本开展肝吸虫病调查,2020年,江门、佛山、中山等珠三角地市食用鱼生的区域人群感染率为13.81%,高于全省平均水平。2010年以来,广东省监测生食淡水鱼4736份,肝吸虫检出率在0%-6.85%之间。
按照这个检出率,吃生鲜,感染肝吸虫的几率最高有6.85%。
拖得越久,对肝伤害越大
肝吸虫在人体内安家落户,存活可长达20~30年,感染肝吸虫后症状可分为三个不同的阶段:
轻度:一开始可表现为轻度乏力、食欲不振或腹痛。
中度:继而可能出现头昏、乏力、精神不振、食欲不振、上腹饱胀、腹泻、肝区隐痛等不适症状。
重度:严重者可出现肝硬化和腹水,还可并发胆囊炎、胆管炎、胆管阻塞等,甚至引起肝胆管癌。
拖得越久,对肝脏损害可能越大。所以,如果吃了生鲜,身体出现以上症状及时去医院就诊,早发现,早诊断,早治疗!
预防肝吸虫,最主要守住“口”,防止“虫从口入”。改变生吃或半生吃淡水鱼虾的习惯,彻底煮熟煮透再吃。切生、熟食品所用的刀和砧板要分开,处理过生鲜后洗手,存放生鲜的餐具要清洗干净,避免交叉感染。
来源|深圳特区报