01
肺部犹如“满天星”
几个月后消失了
30岁本应是人生中花样绽放的年纪,而小谢(化名)却在过去的4年里,经历了无数的绝望与煎熬。
肺转移、淋巴结转移、肝脏转移……她辗转杭州多家医院,每一次检查报告,都像是无情的宣判,恐惧和无助几乎将她吞噬。
但就在小谢几乎快要放弃时,遇到了杭州市红十字会医院肿瘤血液科的丁纪元主任。
“姑娘,别害怕,好好吃药,积极配合治疗。这只是和病魔抗争的开始,坚持下去,情况肯定会越来越好!”丁主任鼓励道。


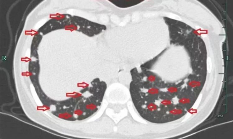
治疗前
入院后,小谢完善了抽血化验及肺部CT、肝脏磁共振等检查,但结果却极其凶险,肺部转移灶如“满天星”,肝脏肿块压迫胆管导致胆红素水平飙升,整个人都“黄”得一塌糊涂。
面对如此棘手的情况,丁主任团队进行了全面且细致的评估,为了有效控制病情进一步恶化,当务之急是立刻开始进行化疗。
在丁主任团队的精心治疗下,小谢开始了化疗。虽然在化疗的过程中经历了副作用,但顶着光秃秃脑袋的小谢依然保持着乐观。


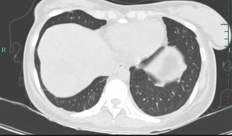
治疗后
几个月后,她的病情逐渐好转,肺部的“满天星”也消失了!小谢满心感激:“是丁主任救了我的命,让我重获新生!”
02
不良情绪会影响免疫系统
良好的心态是抗癌的关键
癌症治疗过程中,每个阶段治疗后的等待都无比煎熬,患者和家属心中总是充满各种担忧。
丁主任强调,治疗癌症,关键是积极配合、保持乐观,患者能否正确认识癌症很重要。不良情绪会影响免疫系统,而良好心态能让免疫系统更好地发挥作用。同时,家人和朋友的关爱鼓励,能给患者对抗病魔的勇气。
一直以来,丁主任将与病人的有效沟通放在极为重要的位置。他深知,病人良好的心态来源于医生的一言一行,有时候甚至是一个眼神,一个表情。
他主张在不影响治疗决策的前提下,不妨学会说一些“善意的谎言”。“这并非要刻意隐瞒病情,而是以一种更温和、更具鼓励性的方式将信息传递给病人,避免他们因过度担忧病情而产生消极情绪,有利于在之后的治疗过程中能保持相对乐观、积极的心态。”
03
远离肺癌
从拒绝吸烟做起
肺癌早期容易被人忽视,且进展迅速,所以合理的预防很重要。预防肺癌,在日常生活中需要做到如下几点:
1
第一就是戒烟
吸烟一直被公认为肺癌最重要的危险因素,就如同一把无形的利刃,悄无声息地割裂着肺部的健康防线。
烟草在燃烧过程中会产生多种致癌化学物,如多环芳烃、芳香族及其胺类、亚硝胺等。
所以,大家要引起高度的重视,把戒烟放在第一位。
2
注意日常保护
很多人在工作的时候可能接触到大量的致癌物质,这些物质通过日积月累就会导致组织病变,形成肿瘤。
3
注重个人饮食
生活中尽量食用新鲜的瓜果蔬菜,可以有效预防便秘起到抗氧化的效果,不仅能预防癌症的发生,还能补充各种微量物质。
4
保持个人心态
情绪低落会引起免疫力的下降,这时就给了病毒可乘之机。保持快乐的心态,避免焦虑感也是预防癌症的一个方法。
5
做好定期体检
肺癌往往一发现就是中晚期,长期吸烟、有环境或高危职业暴露史或家族史的高危人群尤其要定期体检。如发现不适症状,第一时间去医院检查,防患于未然。
低剂量螺旋CT主要用来筛查早期肺癌,可以早发现、早诊断,较好地改善预后,降低肺癌死亡率。
6
增强个人体质
运动是增强个人体质最好的途径。坚持每天运动,可以有效清除体内的垃圾毒素,改善身体机能。
供稿:杭州市红十字会医院