近日
家住杭州萧山的沈大姐
怎么也没想到
自己只不过在家整理了衣柜
居然住进医院
高烧40℃,肺部“长满”菌斑!
女子整理衣柜后确诊
原来,沈大姐见天气渐暖,便趁着休息在家开始了“换季工程”。不料,整理完衣柜后,她竟病倒了。
“我全身不舒服,发热,体温最高到了40℃,还咳嗽。”沈大姐赶紧前往萧山区第一人民医院就医。

图源:健康杭州
医生通过问诊了解到她在整理时发现衣柜里长了霉斑,于是把全部衣柜做了清理,但清理时没戴口罩。
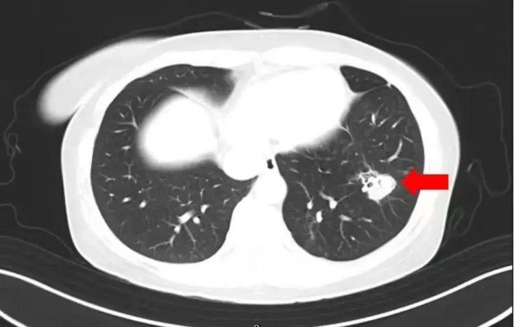
为进一步确诊病情,医生为她进行纤维支气管镜检查及肺泡灌洗液病原体检测,果然发现气道壁上有大量白色菌斑,化验后确认是曲霉菌。
目前,沈大姐经抗真菌及综合支持治疗后已康复出院。
曲霉菌是如何长进肺里的?
曲霉菌是一种真菌,被世界卫生组织列为一等致癌物质,其毒性是砒霜的68倍。它广泛存在于自然界中,主要以枯死植物、动物排泄物及尸体为营养源。
人体免疫系统受到攻击或免疫力较弱时,曲霉菌就可能进入肺部,引起肺曲霉病。

图源:健康杭州
一般有哪些常见症状?
临床上,肺曲霉病分为侵入性肺曲霉菌病、肺曲霉球、气管支气管曲霉病等类型,常见症状包括:
持续高热不退,服用常规退烧药难以奏效;
咳嗽症状加重,伴有胸痛、呼吸困难;
痰液呈棕褐色或痰中带血丝;
出现鼻塞、流脓涕、面部疼痛等鼻窦炎症状,严重时可导致呼吸衰竭甚至危及生命。
不慎吸入,突发咳嗽、呼吸困难怎么办?
1.第一时间脱离过敏原,离开曲霉菌、粉尘较多的环境;
2.站位变坐位且前倾身体,此时膈肌会下移,呼吸道被打开,肺容积增大;

图源:潍坊市人民医院
3.使用腹式呼吸,并尽量缓解紧张情绪;
4.及时用药并就医,有支气管哮喘病史者建议随身携带急救药物。
如何预防肺曲霉病?
据萧山区第一人民医院呼吸与危重症医学科主任邬海燕介绍,该院门诊每年春季都会接诊因清理发霉旧物或打扫卫生而导致肺部感染的患者。该如何预防呢?
及时做好除霉工作
居室:尽量在房间对角线方向上打开至少两扇窗户换气;或使用空调除湿功能来降低屋内湿度。

厨房:可经常打开厨房排风扇通风。
浴室:浴室内最易滋生霉菌,应避免在此晾晒衣物;日常可在打扫后使用除霉专用喷雾剂。

布艺:布艺沙发等家具也易滋生霉菌,应定期清洗沙发套,并在阳光下暴晒。

清洁时佩戴口罩
清除霉菌时应佩戴口罩、手套,以免吸入引发疾病。还可视情况戴上护目镜,以防清洁剂溅入眼睛,造成眼部损伤。
提高自身免疫力
多参加体育锻炼,保持充足睡眠,补充优质蛋白质,提高免疫力。
随着天气渐热
不少人将换季衣物整理
纳入“五一”假期计划
国家应急广播提醒
宅家收拾或大扫除时
请采取必要防护措施
如在此后出现
反复咳嗽、气喘等症状
经常规治疗效果不佳
应尽早到医院就诊
确定是否感染肺曲霉病
以免延误病情 造成严重后果
来源:国家应急广播综合健康杭州、扬州大学附属医院