很多人听说过“脑中风”,但对于“眼中风”可能比较陌生。近日,一则“高三女生眼中风永久致盲”的消息登上热搜。江苏一名高三女生左眼突然失明,错过最佳就医时间,永久致盲。“眼中风”是一种什么样的疾病?发生后如何自救及治疗?
什么是“眼中风”?
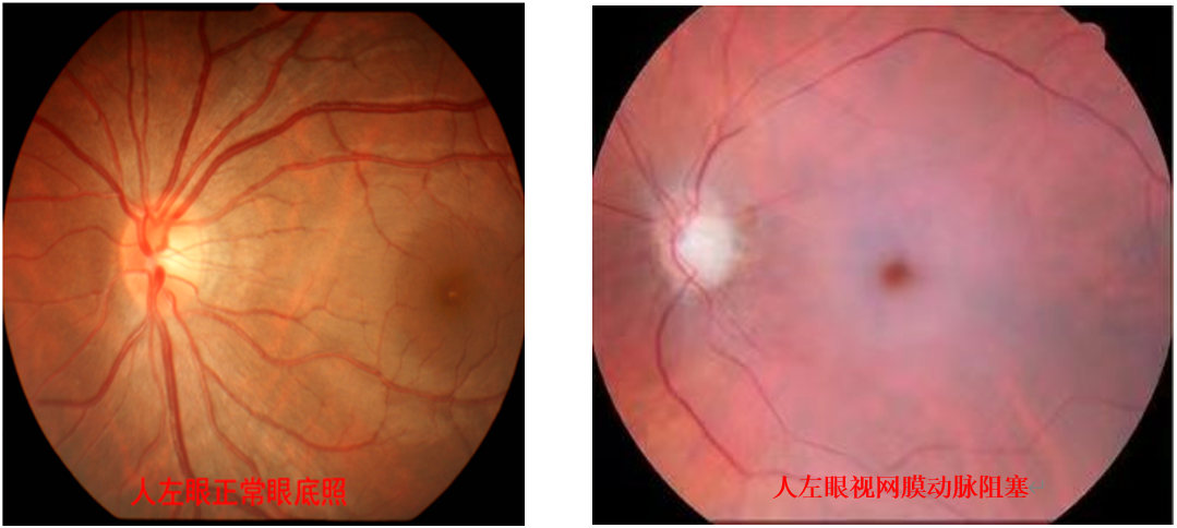
“眼中风”在医学上称为视网膜中央动脉阻塞,是由于视网膜中央动脉发生阻塞而造成的视网膜急性缺血性疾病,这种眼科急症可导致患者视功能严重受损甚至完全丧失。
视网膜就像照相机的胶卷底片,它将照入眼内的光转换为电信号,通过视神经传送至大脑,我们才能“看到”周围的事物。

视网膜对局部缺氧极其敏感,如果新鲜的动脉血不能进入和滋养视网膜,就会发生无痛性的突然视力下降或丧失,也就是出现“眼中风”。
需要注意的是,部分人在发生“眼中风”前会出现先兆症状:一只眼睛出现突发的、一过性黑曚,数秒或数分钟后视力自行恢复。很多人会误以为这是疲劳所致,睡一觉就好,殊不知这样很容易错过黄金治疗期。
发生“眼中风”后
如何自救及治疗?
“眼中风”的特点是发病急、症状重、不可逆,发病后90分钟内为黄金治疗期。一旦视网膜中央动脉缺血、坏死,错过最佳治疗时间,视力恢复的可能性非常小。发生“眼中风”后,应该如何自救?
首先应保持冷静,第一时间赶往医院眼科急诊。
家中如备有急救药物硝酸甘油,可舌下含服,以扩张视网膜中央动脉。
在到达医院前,用手掌按压眼球10秒,突然放松压迫,不断重复这个动作,持续10到15分钟,以减轻视网膜动脉灌注阻力,降低眼压。
预防“眼中风”
记住以下关键点
视网膜中央动脉阻塞多见于老年人。它的发生与高血压、高血糖、高血脂、心脏病等疾病密切相关。老年人血管弹性下降,管壁硬化,再加上老年人常有各类基础病,很容易罹患“眼中风”。

近年来,由于压力大、用眼过度、基础疾病等因素,“眼中风”的患者呈年轻化趋势。预防“眼中风”,记住以下关键点↓
“三高”人群低盐、低脂饮食,遵医嘱按时、按量服药,从源头上预防“眼中风”。
避免过度疲劳及紧张,保持心情愉快。
改变不良的生活习惯,避免用眼过度,不要熬夜。
有心脑血管慢性疾病的患者,应至少半年做一次眼底检查,及早发现风险。
(央视新闻客户端综合)