很多人爱吃海鲜,清蒸、白灼、红烧等,光是想想就让人流口水。
可是在这些“鲜香”背后,也藏着不少被忽视的危险。尤其是清洗、剖开、处理海鲜和河鲜时——不经意的刺伤,没擦干的案板,就可能给细菌可乘之机。比如,我们最近吃的大闸蟹就面临这个风险。
很多人觉得“小口子而已,用水冲冲继续干活”,但真正危险的,是那些肉眼看不见的微生物。来看两个典型案例:

图源网络

图源网络
处理海鲜或河鲜时被刺伤或扎伤,看似伤口较小,实则可能因其携带的特殊污染物而引发感染的风险。今天我们就来好好聊聊,常见的海鲜河鲜感染有哪些?我们又该如何在享受美味的同时,保护好自己。
海洋创伤弧菌
海产品中隐藏的“致命威胁”
海鲜(尤其是活鲜、冰鲜)体表、黏液或体内常携带副溶血性弧菌、创伤弧菌、大肠杆菌、葡萄球菌 等致病菌,这些在海水环境中生活的细菌多为 “嗜盐菌”,适应潮湿环境,一旦通过伤口侵入人体,易快速繁殖引发感染。
轻者引发局部伤口的红肿、疼痛、发热,重者可出现发热、寒战、淋巴结肿大,少数甚至会引发败血症。
其中我们更要警惕的是海洋创伤弧菌感染!这是海鲜刺伤中最危险的情况之一。

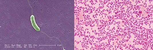
镜下的创伤弧菌 图源网络
创伤弧菌是一种海洋嗜盐性弧菌,被称为“海洋中的无声杀手”,多存在于温暖海域的贝类、虾蟹、海鱼等体表。在不慎被感染后,感染部位通常迅速恶化,表现为红肿、疼痛、水疱、坏疽和组织坏死。若不及时治疗,伤口感染型创伤弧菌感染可迅速发展为败血症。

图片来源于《中华急诊医学杂志》
创伤弧菌感染后病情进展迅猛,救治困难,全世界范围内死亡率为9.1%~68.0%,在中国其死亡率为18%~56%。
河鲜产品中可能隐藏的感染
在处理河鲜时,如果不慎被鱼刺、虾壳、蟹钳刺伤,或皮肤有破损(如倒刺、划伤),细菌则可通过创口侵入。
副溶血性弧菌
虽然该细菌多常见于海水,但淡水环境(如河口、受海水倒灌的江河、养殖水体污染)中也可能存在,尤其河鲜若与海水产品交叉存放或处理,则易被污染。
感染副溶血性弧菌后,常出现腹痛、腹泻、呕吐、失水、畏寒及发热等症状。
猪丹毒杆菌
虽以“猪”命名,但这种细菌并非只存在于猪身上。它也存在于淡水鱼(如草鱼、鲫鱼、鲈鱼等)、淡水虾、蟹、贝类、螺蛳等水产品的体表、鳃部和黏液中,尤其是水产市场流通的鲜活河鲜,携带率较高。
在感染后的1~3天,伤口周围出现界限清晰的 “紫红色斑疹”,伴灼热感、疼痛,斑疹会逐渐扩大(但不化脓);少数人可能出现高热、关节肿痛,严重者细菌侵入血液引发败血症。
处理海鲜水产时 我们该如何做好预防?
做好个人防护
戴防水厚手套,不仅可以避免手部直接接触海鲜黏液,同时还可以防止被虾蟹壳、鱼鳞刺伤或划伤。
做好工具消毒
建议处理水产品前后,使用沸水烫洗刀具、砧板、剪刀等。建议设置专用“海鲜砧板”,做到与生肉、蔬果砧板分开,以避免交叉污染。
如果在处理过程中,我们不慎被刺伤,又该如何处理呢?下面这份刺伤处理小贴士请收好。
1.立即清洁伤口 应立即从近心端向远心端把血挤出,并用流动的清水反复冲洗伤口至少15秒,尽可能冲掉表面的细菌、黏液或异物; 若有明显可见的如虾壳碎片等异物,用消毒后的镊子轻轻取出。
切记!因为海洋中生存的细菌具有“嗜盐性”,如果是被海产品所扎伤,不能使用盐水冲洗。
2.消毒杀菌
用碘伏或75%酒精擦拭伤口及周围皮肤。
3.止血与保护
若伤口出血较多,用干净纱布按压5~10分钟止血,止血后用无菌纱布或创口贴覆盖(避免伤口暴露在潮湿环境中,减少细菌再次污染)。 出现以下情况时 必须 就医
1.若伤口出现红肿、疼痛加剧等感染症状,应立即就医治疗,以防止感染进一步恶化。
2.患有肝病、糖尿病等高危人群,即使伤口无明显异常,也建议在刺伤后24小时内就医,排查创伤弧菌感染风险。
海鲜可以吃得鲜、吃得爽,但处理的时候,千万别掉以轻心。那些看似不起眼的小扎伤、小破口,有时恰恰是细菌“趁虚而入”的最佳时机。绝大多数时候问题不大,会自己好,但一旦碰上“倒霉的那一次”,可能就会发展得比你想象中更严重。
所以,以后处理大闸蟹、海鱼、贝类的时候——戴个手套、及时清洗伤口、必要时早看医生,真的都是能救自己一命的小事。
愿大家每一次的海鲜大餐,都只有鲜味、没有“风险味”。吃得开心,也吃得安心。
来源丨科普中国