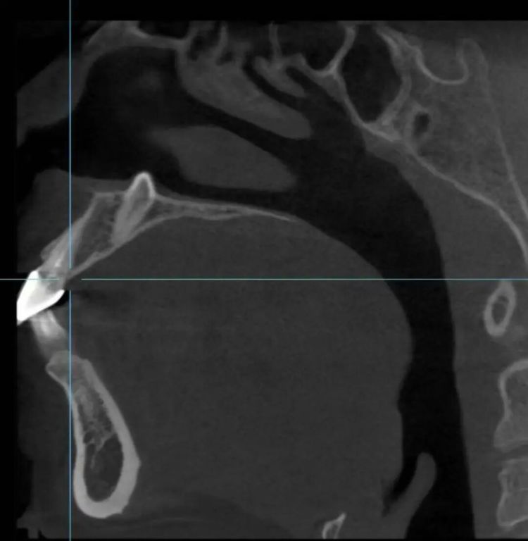
近日,高中生小郑,担心牙齿不齐被同学笑话,于是在家人的陪同下来到台州市康复医院口腔科寻求牙齿矫正治疗。在进行必要的术前影像学检查时,医生发现,小郑的门牙牙根上方、鼻腔底部的位置,竟然“埋伏”着一颗多生牙。

“这颗多生牙的牙冠向上,朝鼻腔方向伸长,牙尖已突破鼻底骨头,触及鼻底黏膜。如果不处理,在正畸移动牙齿的过程中,它会形成巨大阻碍,导致邻牙牙根吸收、正畸失败,甚至可能在未来穿破鼻腔,影响健康。”台州市康复医院口腔科主任医师戴杰介绍。
经过详细评估,与小郑及其家人充分沟通后,医生团队决定为小郑实施局部麻醉下的微创拔牙术。“我们通过小切口配合专用的微创器械,定位、拔除多生牙,可以避免对周围组织和鼻腔底部的较大损伤。”戴杰说。
手术过程顺利,术后小郑恢复良好,不久后就可以进行后续的牙齿矫正治疗了。
牙齿为何会长进鼻子里
这听起来或许有些不可思议,但在专业医生看来,它并非个例,且在门诊中相当常见。
“其实,这是一种被称为‘埋伏多生牙’的情况。多生牙,顾名思义,就是正常牙列数目之外长出来的牙齿,可能出现在颌骨的任何部位,最常见于上颌前牙区。”戴杰解释道,发育过程中,该患者多生牙的牙胚不像正常牙齿一样向下萌出,而是“迷了路”,朝相反方向——即鼻腔底部生长,“由于上颌骨前牙区上方紧邻鼻腔,这才形成了逼近鼻腔的特殊位置。”
相关统计显示,多生牙在普通人群中的发病率为1%~3%,儿童和青少年是高发群体,有家族多生牙病史的人群,概率更高。
“多数埋伏多生牙早期无明显症状,往往在正畸检查、补牙或常规拍牙片时才被发现。”戴杰说,别看多生牙常见,但危害不容忽视,有的可能阻碍正常牙齿萌出,导致牙列不齐,有的可能压迫邻牙造成牙根吸收,严重时还可能继发含牙囊肿、骨髓炎等疾病。
替牙期定期检查是关键
据介绍,多生牙往往难以通过后天行为预防,因此它的治疗核心在于早发现、早诊断、早干预。戴杰强调,儿童替牙期(6~12岁)是排查埋伏多生牙的关键阶段,家长需格外重视,最好每半年至一年进行一次全面的口腔检查。
“当发现孩子有恒牙迟迟长不出来、牙齿间隙异常大或中切牙之间有较大缝隙等情况时,也要及时就诊,由专业医生判断是否需要拍摄X光片,排除埋伏多生牙的可能。”戴杰说。
一旦确诊有多生牙,医生会根据其位置、对邻牙的影响以及患者年龄等因素综合制定治疗方案。
“手术拔除是最常见的治疗方法。尤其当多生牙已引起其他症状,或即将对牙齿矫正治疗、邻牙健康构成威胁时,手术是首选。”戴杰说,在一定情况下,医生也会根据患者的实际情况,将拔出的多生牙移植到其他缺牙部位。
当然,如果多生牙位置很深,没有对周围结构造成任何影响,且患者年龄较大,医生也会酌情判断,选择定期复查影像,暂不处理。
来源:台州恩泽医疗中心