春回大地,春笋冒尖。对于竹林密布的富阳新登地区,上山挖笋是村民春日里最寻常的劳作。然而,清新的山林空气、松软的竹林土壤中,却可能潜藏着侵袭肺部的致命真菌。近日,富阳区第二人民医院就接诊了一名因进山挖笋感染罕见真菌,导致右肺严重毁损、呈蜂窝状改变的患者。
01
七旬大伯反复咯血
肺部竟成“蜂窝状”
家住新登的王大伯(化姓)今年70岁,近期突然出现反复咯血的症状,这可把老人吓坏了,连忙赶到区二院呼吸内科就诊。

呼吸内科医生查房
接诊的是呼吸内科主任、主任医师张绍塘。他仔细询问病史发现,王大伯既往肺部情况复杂:年轻时曾患肺结核,还因肺脓肿做过肺叶切除手术。老人和家人都以为是老毛病复发,但张绍塘判断,此次咯血症状与旧病不符,不是普通呼吸道问题,当即安排入院做进一步检查。
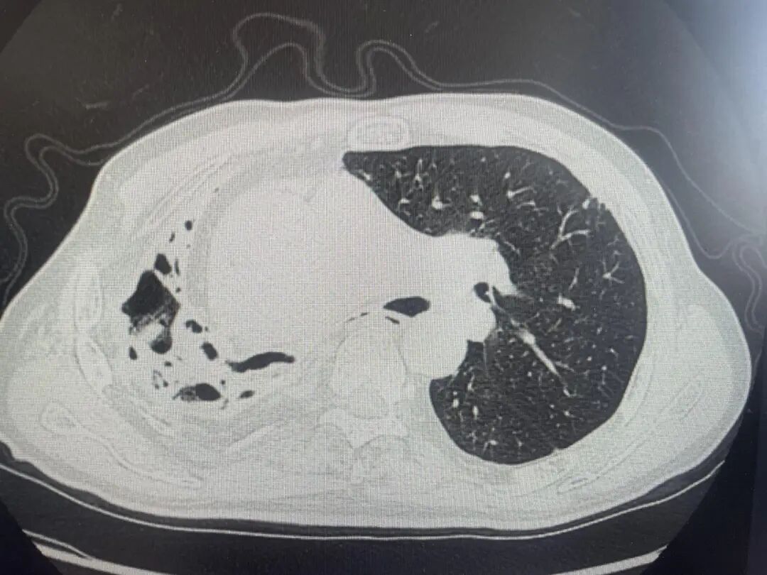
肺部CT结果显示,王大伯的右肺已严重毁损,呈现出典型的蜂窝状改变,肺功能受损严重。凭借丰富临床经验,医生高度怀疑是特殊致病菌感染,随即通过支气管镜肺泡灌洗,结合NGS高通量测序查找病原体。

肺部CT提示右肺毁损、蜂窝状改变
最终,检测结果揪出了真正元凶——马尔尼菲蓝状菌,一种致死风险较高的深部致病真菌。
02
元凶藏在竹林里
挖笋吸入真菌孢子致病
医生结合流行病学调查与王大伯的生活轨迹,找出了感染源头。原来老人近期频繁进山挖笋、在田间劳作,过程中吸入了混杂在尘土、枯叶中的真菌孢子,从而引发严重肺部感染。
医生介绍,马尔尼菲蓝状菌(曾用名:马尔尼菲青霉菌),是一种广泛存在于自然环境中的条件致病性真菌,在我国南方及东南亚地区尤为常见,竹鼠是其主要天然宿主,银星竹鼠带菌率高达96%。
这种真菌的孢子,就潜藏在竹林土壤、腐烂枯枝、落叶层中。一旦被人体吸入,便会在肺部定植、繁殖,引发致命的深部真菌感染。
临床显示,老年人、有慢性基础病、长期服用激素、肿瘤放化疗、免疫功能低下人群,都是马尔尼菲蓝状菌感染的高危人群。病菌主要通过呼吸道入侵,肺部首当其冲。
初期症状多为咳嗽、胸痛、发热、呼吸困难等,与肺炎、肺结核、肺脓肿极其相似,影像学也无典型特征,极易误诊、漏诊,延误最佳治疗时机。
目前,王大伯在区二院接受规范抗真菌治疗后,病情已趋于稳定,后续将在呼吸科门诊定期复查胸部CT,监测肺部恢复情况。
03
挖笋时最好佩戴口罩
新登、龙羊一带竹林广袤,每年春笋上市,大批村民进山挖笋、山林作业,真菌暴露风险大幅上升。
除了马尔尼菲蓝状菌外,土壤还是微生物的“天然温床”,曲霉菌、隐球菌、毛霉菌等多种致病真菌都在此滋生。它们在湿润、疏松的表层土壤、枯枝落叶堆积处浓度最高,山林劳作时一不注意就会吸入体内。
医生提醒,进山劳作佩戴口罩是抵御真菌最简单、最有效的防护。
如果出现持续咳嗽、发热、胸闷、咯血、头痛等症状,尤其是近期有山林劳作、挖笋、接触野生动物、被抓伤咬伤等可疑暴露史,在常规治疗效果不佳时,一定要主动、详细告知医生暴露史。
真菌感染并非不治之症。一旦确诊,只要严格遵从医嘱,规范足疗程抗真菌治疗,不擅自停药、减量,多数患者预后良好。
来源:富阳日报