平时的剩菜、剩饭,一些人舍不得倒,习惯放冰箱里 ,到时候“热一热再吃”。 但冰箱不是食物保险箱,食物保存不当或者放久了食用,会致病,甚至会危及生命。
近日,临海市第二人民医院ICU接诊一位76岁患者,只因吃了冰箱冷藏4天的鸡肉,突发休克、肝脏里布满气体,被医生判定为 “死神之征”。
凶险急症:
肝门静脉积气
医学上的 “死神之征”
当晚10点,76岁李大伯被家人紧急送入临海市第二人民医院急诊,他大汗淋漓、腹部僵硬如石。据家人说,李大伯从下午4点开始腹胀腹痛,症状持续加重。
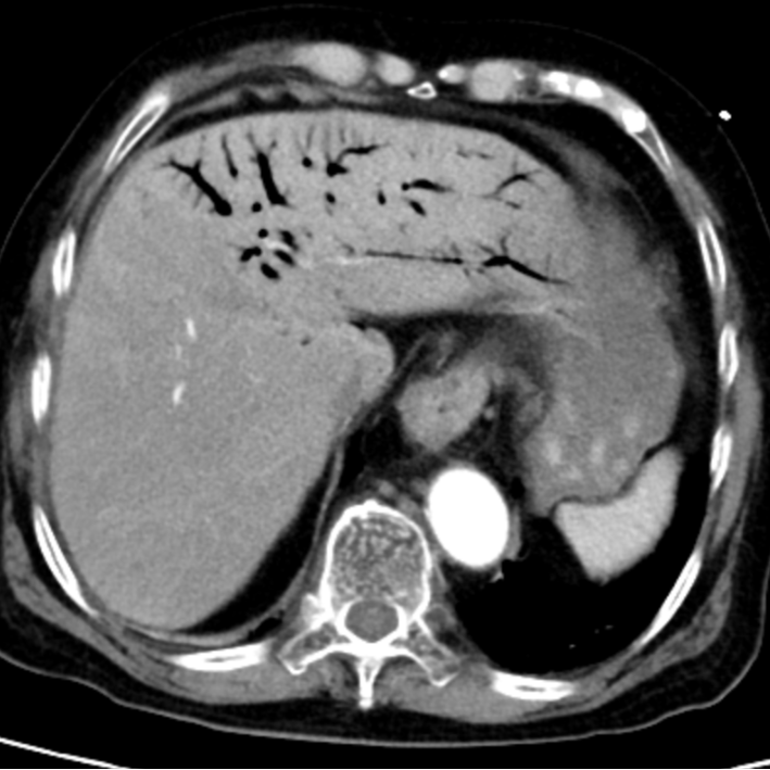
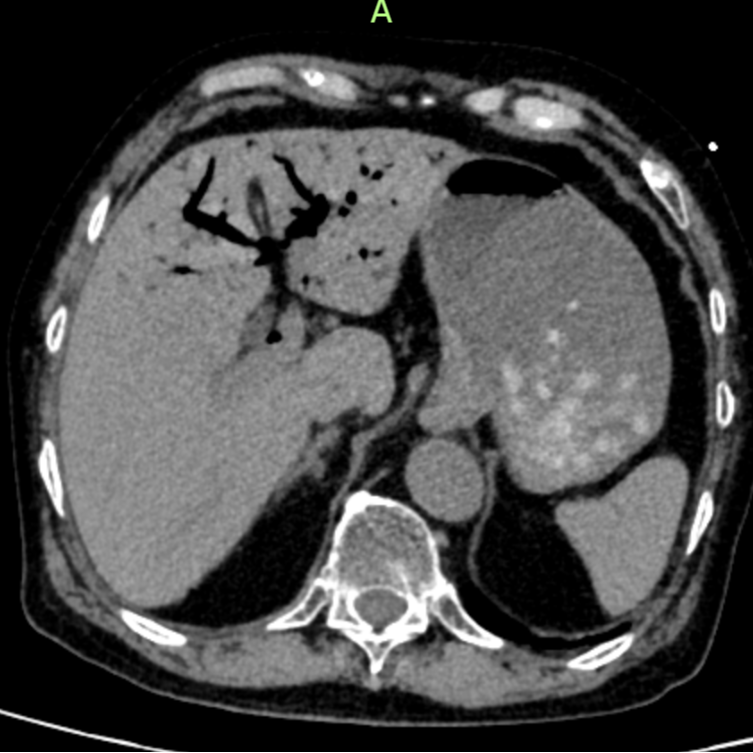
急诊CT结果让医护人员高度警惕:肝门静脉及肠系膜静脉广泛积气。


肝脏内血管广泛积气


腹胀明显,肠道积气

罪魁祸首: 冰箱里放了多日的鸡肉
在全力抢救的同时,医生们也在寻找病因——祸根竟是一盘放在冰箱里4天的鸡肉。
李大伯比较节俭,子女多次劝阻不要吃久放剩菜,他始终觉得 “没坏、能吃”,正是这一口“舍不得”,把自己送进了ICU。
医生提醒,冰箱冷藏环境只能抑制细菌繁殖,无法彻底杀灭细菌。剩饭剩菜、生肉存放过久,产气荚膜杆菌等致病菌会大量滋生,进入人体后破坏肠道黏膜,导致肠管缺血、坏死,气体与毒素进入血管,引发致命感染。
尤其是60岁以上老年人,免疫力低下者、肾病、糖尿病、肿瘤等基础病患者,有肠道手术史、长期服用抑酸药人群,风险远高于普通人。这类人群身体防御能力弱,少量致病菌就可能引发严重感染,甚至危及生命。
牢记饮食安全准则
远离冰箱隐患

此外,这4类食物,再舍不得也要扔。
隔夜绿叶菜:亚硝酸盐含量快速升高,冷藏超过24小时必须丢弃;
凉菜、沙拉:无法高温杀菌,极易滋生致病菌,不建议存放;
海鲜河鲜:隔夜后蛋白质降解产生有害物质,加重肝肾负担;
久放肉类:冰箱冷藏超过3天,感染风险大幅上升,尽快食用或冷冻。
来源:临海市第二人民医院